Home
515.000 μητέρες πεθαίνουν ετησίως
- Λεπτομέρειες
- Γράφτηκε από τον/την Παναγιώτης Στασινάκης
- Κατηγορία: Φωτογραφίες
- Εμφανίσεις: 13074
Kι ενώ η 12η Μαΐου πλησιάζει, κι όλοι οι άνθρωποι ετοιμάζονται να γιορτάσουν τις Μητέρες τους, τα στοιχεία της UNICEF είναι συγκλονιστικά. Και αφορούν μητέρες οι οποίες έχουν πεθάνει ή έχουν μείνει ανάπηρες κατά τη διάρκεια της κύησης και του τοκετού
Διοξείδιο του άνθρακα και αλλεργίες
- Λεπτομέρειες
- Γράφτηκε από τον/την Παναγιώτης Στασινάκης
- Κατηγορία: Επιστημονικές Ειδήσεις
- Εμφανίσεις: 11463
Επιστήμονες από το πανεπιστήμιο Harvard δημοσίευσαν στην επιστημονική επιθεώρηση Annals of Allergy, Asthma, and Immunology στο τεύχος του Μαρτίου, μια έρευνα που συσχετίζει τα αυξημένα επίπεδα του διοξειδίου του άνθρακα με τις αλλεργίες. Στην έρευνα αυτή, οι επιστήμονες βρήκαν ότι ζιζάνια που μεγάλωσαν σε μια ατμόσφαιρα με διπλάσια συγκέντρωση διοξειδίου του άνθρακα
Δελτίο τύπου, Υπουργείο Υγείας & Πρόνοιας
- Λεπτομέρειες
- Γράφτηκε από τον/την Ευδοκία Πρωτοπαπαδάκη
- Κατηγορία: Επιστημονικές Ειδήσεις
- Εμφανίσεις: 9869
Οπως σας είναι γνωστό, από τη πρώτη στιγμή εμφάνισης των δύο περιστατικών στην Κρήτη, οι Υγειονομικές Υπηρεσίες του Κράτους, σε συνεργασία και με την επιστημονική καθοδήγηση του Κ.Ε.Ε.Λ., έθεσαν σε λειτουργία ένα σύστημα επιδημιολογικής επιτήρησης με στόχο την άμεση καταγραφή των περιστατικών καθώς και την ανίχνευση των παθογόνων αιτίων
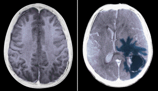
Eμβόλιο για τον καρκίνο του εγκεφάλου
- Λεπτομέρειες
- Γράφτηκε από τον/την Ευδοκία Πρωτοπαπαδάκη
- Κατηγορία: Επιστημονικές Ειδήσεις
- Εμφανίσεις: 11704
Ένα πειραματικό εμβόλιο κατά του καρκίνου του εγκεφάλου έδωσε ικανοποιητικά και πολλά υποσχόμενα αποτελέσματα σε προκαταρκτικές μελέτες, στο ινστιτούτο Jonsson Cancer Center του Πανεπιστημίου UCLA. Τα αποτελέσματα δημοσιεύονται στην επιστημονική επιθεώρηση Cancer Research της προηγούμενης εβδομάδας
Σελίδα 1 από 75
